二级口腔医院 · 市医保定点单位

QQ图片20230807172118.jpg

QQ图片20230807171802.jpg



柳州牙齿矫正

新闻分类

服务项目

联系我们

康乐口腔医院(三中总院):

0772-2860286

康乐口腔温馨门诊部(海关分院):

0772-2990992

康乐口腔潭中门诊部(潭中分院)

0772-2626588

康乐口腔医院咨询中心微信号:

18577277737

网址  :  www.lzklkqyy.com

柳州口腔


乳牙不重要反正都要换?!康乐口腔教宝爸宝妈们打赢“乳牙保卫战”

您的当前位置: 首 页 >> 新闻中心 >> 公司新闻

乳牙不重要反正都要换?!康乐口腔教宝爸宝妈们打赢“乳牙保卫战”

发布日期:2021-06-30 作者: 点击:




图片




国家卫计委

第四次全国口腔健康流行病学

调查结果显示

5岁儿童乳牙龋齿率高达70.9%


微信图片_20210630090837.png

平均10个孩子就有7个龋齿

微信图片_20210630090837.png

看过一个这样的新闻:3岁半宝宝,牙齿全部烂光!


据这位妈妈说,因为平时忽视了对宝宝牙齿的护理,起初发现牙齿有小黑点也没太在意,才导致了这么严重的后果。

微信图片_20210630090654.jpg

3岁半宝宝,牙齿全部烂光


无独有偶

不过这次的后果更加严重!


北京一个4岁的男孩,因为乳磨牙发生龋坏,牙根发炎,导致眼眶下间隙感染,最终为了保命,摘除了一只眼球。

微信图片_20210630091145.jpg



微信图片_20210630090837.png

乳牙的作用比我们想象的

重要得多

微信图片_20210630090837.png

1、乳牙可帮助儿童进行正常的咀嚼活动,儿童每日饮食可通过乳牙的咀嚼,促进其对食物的消化和吸收


2、乳牙对儿童说话的发音也具有重要作用。


3、乳牙对恒牙的萌发具有方向引导,如果乳牙因此提前脱落,还没有做好准备的恒牙,就会找不准自己对应的位置,最后很可能导致牙齿参差不齐

微信图片_20210630091205.jpg

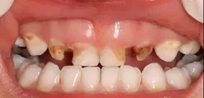
乳牙龋坏


图片
微信图片_20210630090837.png

如何保护孩子的乳牙

微信图片_20210630090837.png


乳牙如此重要

很多家长朋友却并不太了解

如何保护孩子的乳牙

今天康乐口腔

来带你打赢这场“乳牙保卫战”


01

定期检查很重要


乳牙的结构比较特殊,他们的钙化程度不高,很容易受到细菌的侵犯从而造成蛀牙。定期的口腔检查能够及早的发现孩子的口腔问题,早发现早治疗,更好的守护宝宝的牙齿健康。

微信图片_20210630091221.jpg


02

提前预防龋齿

给宝宝的牙齿穿上防护衣


涂氟窝沟封闭是目前公认的最有效的预防龋齿的两种方法。

微信图片_20210630091241.jpg

涂氟就是牙科医生用一种含氟的物质,对每一颗牙齿表面进行氟化处理从而抑制口腔中的残余食物进行发酵,是一种预防龋齿的非常有效的方法。


微信图片_20210630091306.png

窝沟封闭就是用一种对人体无害液态树脂材料,在大牙的一道道窝沟内涂上,液态的树脂在进入窝沟后固化变硬,形成一层保护性的屏障,覆盖在窝沟上,从而预防龋齿。


温馨提示:

无论是涂氟,还是窝沟封闭,都不是“一劳永逸”的。要想孩子远离龋齿,平时还要督促孩子早晚刷牙、科学进食甜食,定期口腔检查(建议每半年一次)等等。



微信图片_20210630090837.png

乳牙出现问题要及时治疗

微信图片_20210630090837.png

乳牙出现这两个问题要引起重视

首先乳牙因为龋坏、外伤等原因提前脱落,恒牙迟迟不萌出。宝宝长期缺牙,随着时间的推移缺牙位置会随着其他牙齿的移动逐渐变小,恒牙长出就会受到限制。出现这种情况要及时使用间隙保持器,保证后期恒牙的正常萌出


其次,恒牙萌出后,乳牙还迟迟不肯“退位”,使后续恒牙生长歪斜,形成一前一后双排牙。出现这种情况建议及时到院拔掉乳牙,使恒牙逐步长到正常的位置上

微信图片_20210630091330.jpg

双排牙



微信图片_20210630090837.png

康乐六一儿童节

无忧看牙·有礼童享

微信图片_20210630090837.png

预防大于治疗。康乐口腔始终关注儿童的口腔健康问题。值此“六一”儿童节之际,康乐口腔推出“无忧看牙·有礼童享”系列特惠活动,6月1日—6月30日期间,来康乐口腔守护孩子健康成长!

微信图片_20210630091347.jpg



本文网址:http://www.lzklkqyy.com/news/524.html

关键词:

近期浏览:

扫一扫,关注我们

QQ图片20230807171631.jpg

  • 在线客服
  • 联系电话
    18577277737
  • 在线留言
  • 在线咨询
    欢迎给我们留言
    请在此输入留言内容,我们会尽快与您联系。
    姓名
    联系人
    电话
    座机/手机号码
    邮箱
    邮箱
    地址
    地址