康乐口腔医院(三中总院):
0772-2860286
康乐口腔温馨门诊部(海关分院):
0772-2990992
康乐口腔潭中门诊部(潭中分院):
0772-2626588
康乐口腔医院咨询中心微信号:
18577277737
网址 : www.lzklkqyy.com

当讨论到孩子的乳牙龋坏了要不要处理时,我们经常会听到以下说法↓↓↓

所以,孩子乳牙龋坏到底要不要治疗呢???

我们先来看看真实的案例
1
乳牙龋坏,
竟导致整个下颌骨被切
小姑娘年仅12岁,因乳牙龋坏太严重,引起下颌大面积囊肿,没办法只得做了下颌骨切除手术,手术费用花了16万元,不过现在都恢复的挺好的,只是右边下边没牙了。

看了病例以后,你还会觉得乳牙坏了不用管吗?
那我们再看另一个9岁孩童的案例
2
龋齿不治,
导致颌骨大面积吸收
一位9岁的孩子,因父母没有重视乳牙护理和龋齿治疗,那颗乳牙下面的颌骨大面积吸收!当然,囊肿造成的乳牙根尖周炎,也可能是这种吸收的可能原因之一(由于没有详细资料和医生的诊断)。

图像上黑色的阴影部分是下颌骨大面积破坏后的成像,太可怕了
所以,如果你还觉得孩子乳牙期间长蛀牙没关系,
已经到了该 醒 醒 的时候了!

婴幼儿龋齿的危害不亚于成人的龋齿。它不仅影响宝宝正常的咀嚼和进食,致使宝宝营养不良,还会影响宝宝颌骨的发育,以及恒牙的生长和萌出,导致恒牙排列参差不齐(拉低颜值)。

更可怕的是,一旦患有严重的龋齿,导致龋齿的致病菌——变形链球菌有可能会进入血液,继而影响心肾功能。这可不是闹着玩的!

所以,乳牙龋病应尽快到医院进行治疗。一但发现孩子长了龋齿,一定要及时处理,绝不能有“乳牙迟早要换,坏了也不必治”的错误观念。

乳牙不治疗有哪些危害?
乳牙虽然迟早会被替换,但是它会在小朋友的口腔中存在很长一段时间,大概在口腔内存留6-10年。
而这段时期恰是孩子生长发育的重要阶段,所以乳牙对人的一生至关重要。
乳牙不补,会引发更严重的牙齿问题
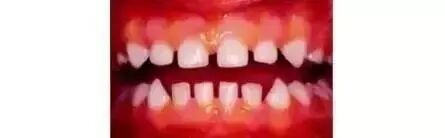
健康的乳牙

然而并没有好好地护理,
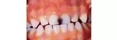
乳牙蛀了,刚开始是这样的

隔壁的大妈说,乳牙要换的,
不用补。然后就变成这样了。

家长开始着急,然而群里的宝妈又说了,
“这算事儿吗?换牙就好了!”于是,
牙齿就变成这样了。

结果......

乳牙不补,会让下方的恒牙“躺着中枪”
确实,乳牙反正是要换,但是您得知道乳牙和恒牙是那么那么的接近!
乳牙生病了,龋坏了长期不管,很有可能造成恒牙也毁容!

釉质发育不全

恒牙异位萌出
03
乳牙不补,孩子不敢用坏牙吃饭,
长久形成偏侧咀嚼
长期偏侧咀嚼,除了下巴骨不适、一侧牙齿磨损严重等问题外,最糟糕的是,脸型变这样了!
